有趣生活

当前位置:首页>生活> 如何自查是否出现白肺

如何自查是否出现白肺

发布时间:2025-10-22阅读( 15)

白肺是目前很常见的情况,受新冠影响很多老年人都出现了白肺的情况,当然也有年轻人会患上白肺。那么,如何自查是否出现白肺?平时怎样保护自己的肺?一起来看看中睿百科网带来的详细介绍吧!

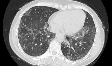
如何自查是否出现白肺

如果出现白肺,患者可能会出现一些严重的呼吸道症状,包括咳嗽、喘息、呼吸困难或体力活动时呼吸短促。一个更客观的指标是病人的呼吸频率,通常大于每分钟30次呼吸,或血氧饱和度低于93%就要警惕出现严重肺部感染。白肺并不能预防,只能预警。

平时怎样保护自己的肺

一、保持舒畅开朗的心情,经常开怀大笑有助于清理呼吸道,使呼吸通畅;

二、每天多喝水,保持肺脏与呼吸道的正常湿润度;(www.wS46.com)

三、时常做深呼吸,有助于清除呼吸道及肺部污染物,减少肺脏损害;

四、坚持运动锻炼,提高身体抵抗力,多做扩胸运动增加肺活量;

五、尽量避免吸烟,以及吸入其它对肺脏有害的气体,日常可多吃莲子、芡实、银耳、雪梨、百合、蜂蜜等有滋阴润肺作用的食物;

六、人体鼻翼两侧的迎香穴,背部的肺腧穴可经常按摩,是对养肺、护肺的日常保健。

肺白了还能恢复吗

肺白了一般是指白肺,白肺能否恢复与疾病类型、严重程度有一定关系,有些患者在检查时,发现肺白密度增高,如果是轻度肺部炎症引起的白肺一般是可以恢复的,如果是严重肺部炎症或肺间质纤维化引起的,则可能无法恢复。

如果是轻度肺炎引起的白肺,一般不用太担心,只要积极消炎治疗就可以了,一般炎症消退后,肺部就可以恢复健康,在日常生活中也要注意避免吸烟,避免长时间呆在空气肮脏的环境中。

如果是比较严重的肺炎或肺间质纤维化引起的白肺,一般会伴有呼吸困难的症状,首先应该改善患者的呼吸状态,可以帮助患者通过吸氧呼吸,也应该使用抗生素类药物进行治疗,症状消退后,白肺症状会相应减轻,但一般不会完全恢复。

此外,白肺也可能由肺结核、肺肿瘤等原因引起,需要鉴别诊断。

如有不适,应及时就医,以免耽误病情。

TAGS标签:   如何   自查   是否   出现   白肺   如何自查是否出现白肺

Copyright © 2024 有趣生活 All Rights Reserve吉ICP备19000289号-5 TXT地图HTML地图XML地图