有趣生活

当前位置:首页>生活>10多年的烧心反酸竟是这里破了个孔

10多年的烧心反酸竟是这里破了个孔

发布时间:2025-10-28阅读(1)

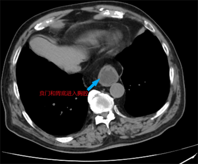
吴阿伯,70多岁的老人,多年来一直饱受烧心、反酸等消化不良症状的困扰。他曾以为是胃病所致,不断尝试胃药治疗,但症状始终无法缓解。近期,吴阿伯的病情愈发严重,甚至出现呕吐,不得不住院接受治疗。在广州中医药大学第三附属医院消化内科的细致检查下,终于发现了问题的根源——食管裂孔疝。为了从根源上治疗病情,吴阿伯接受了普外科医生团队的微创手术,重获健康。

多年来,吴阿伯一直将烧心、反酸等症状归咎于胃病。他不断服用胃药,但效果甚微,症状反复出现。最近,随着病情加重,吴阿伯开始出现呕吐的情况,不得不住进医院接受治疗。在广州中医药大学第三附属医院消化内科的主管医师郭歆的指导下,进行了详细的检查,结果显示他患有食管裂孔疝,并伴有反流性食管炎。郭医生指出,吴阿伯的症状包括嗳气、反酸和胸骨后烧灼感等,都是由于反流性食管炎引起的。由于食管裂孔疝的存在,单纯依靠内科药物治疗无法从根源上治疗病情,因此请来普外科医生协助治疗。

(www.Ws46.com)

普外科副主任医师肖光辉及其团队为吴阿伯实施了创伤小、恢复快的微创手术。手术中,肖医生通过腹腔镜和微创手术器械,为吴阿伯进行了腹腔镜下食管裂孔疝修补术和胃底折叠术。通过在腹部打5个小孔,肖医生成功进行了微创手术。经过多学科的协同治疗,吴阿伯的症状消失,康复顺利,出院后恢复了正常的生活。

食管裂孔疝的高发原因与肉食比较盛行的地区、老年人群体等因素有关。肖光辉强调,预防食管裂孔疝需要避免食用难以消化的肉食,控制体重,积极治疗慢性便秘等。同时,他也提醒老年人要注意减少引起腹内压力升高的因素,以预防食管裂孔疝的发生。

吴阿伯的故事向我们展示了微创治疗在解决食管裂孔疝等疾病中的重要作用。通过微创手术,患者可以减少手术创伤、恢复更快,从而重新获得健康。希望更多的人了解并重视食管裂孔疝,及时就医,并选择适合自己的治疗方法,早日恢复健康的生活!

欢迎分享转载→http://www.youqulife.com/read-750226.html

相关文章

    Copyright © 2024 有趣生活 All Rights Reserve吉ICP备19000289号-5 TXT地图HTML地图XML地图