当前位置:首页>标签>拔智齿有什么风险和后
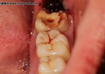
拔智齿后遗症太多了,拔智齿有什么风险和后遗症(拔牙水平很关键),拔智齿后遗症太多了,,拔智齿有什么风险和后,遗症(拔牙水平很关键,)...
生活中的人生感悟说说,字字千金,富含哲理!
圆明园十大稀世珍宝:圆明园兽首居首,随便一件价值上亿
国足下次正式比赛为2027年亚洲杯 邵佳一接手国家队帅位
开拓者召回杨瀚森 明日战湖人将归队
倪妮个人资料介绍照片及身高体重:因金陵十三钗爆红(出道11年)
程晓玥郑恺分手原因曝光,爱情长跑结束让人惋惜
尊巴舞是什么?尊巴舞好学吗?
刘海薄点好看还是厚好看 薄刘海和厚刘海的区别
避免感情对自己的影响,特别无情的三个星座
让人又恨又爱的星座,信任背后的真相
揭秘!欠下情债最多的星座
Copyright © 2024 有趣生活 All Rights Reserve吉ICP备19000289号-5 TXT地图HTML地图XML地图